Nudes
Porn Pictures
XXX
2024 PORN
2026 Porn
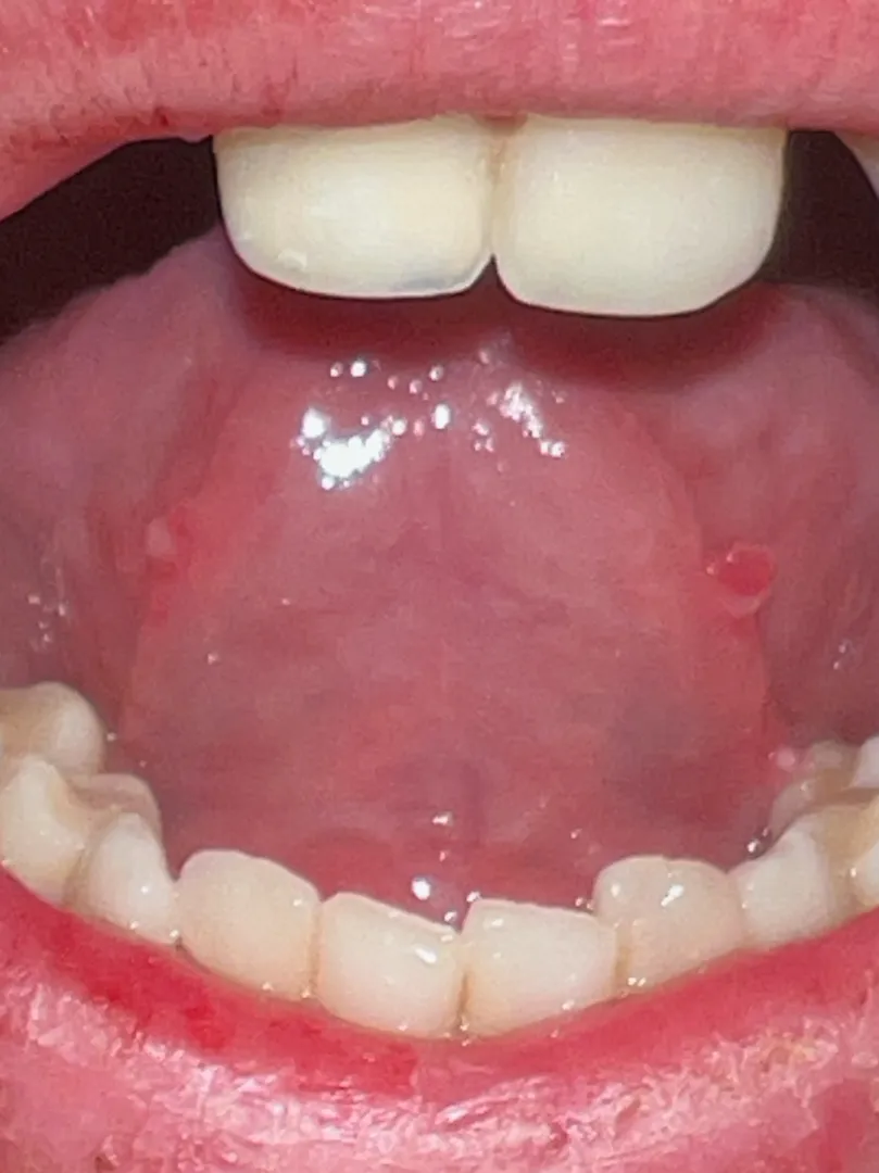
Is this something I should worry about its a bit painful but only when I move my tongue nudes
Previous
Next
Posted: 2mth ago
Viewed: 3 times
Liked: 0 times
Category: medical
Posted by:
Few_Frame6892
More photos from Medical
2
0
Numbness on forearm skin. I woke up yesterday with skin in the area numb, feels like pins and needles.
0
0
Red lump under my chin around 2-3 cm in size. No head or mark indicating a bite or a boil/spot.
2
0
19M it feels like there a type of Lump on top of my balls it don’t hurt or itch and normal colored but I had it for a while and I’m kinda confused what it is, and I haven’t done anything sexual
10
0
White spots on tongue?they appeared around a month ago, the air has been really dry.
3
0
concerned about this on my back i think it's a pimple scabbed over but unsure
5
0
Persistent itchy patch on partner's hip (F) Getting worse over 8 weeks. Doesn't feel like her usual eczema. Any ideas?
1
0
What is this? Everytime I get a haircut it happens, tried different things, nothing has helped. Bumpy pimples, getting worse. Any ideas?
12
0
I took an at home pee test because it said it could tell you if you have a UTI but I don't really understand it.